Smile Gallery
Cosmetic Dentistry and Porcelain Veneers
Patient 6

Dr. Vaccaro and his team are all top notch! From routine cleanings to tooth repair, my experience was great. With a couple of chipped teeth, Dr. Vaccaro was an artist, making them look as good as new!
Case Images

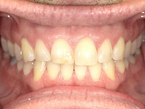
Before

After

Before

After
Patient Information
This patient had a chipped front tooth and was wearing down his canines from grinding his teeth. The discoloration of his front tooth was also an aesthetic concern. We used cosmetic bonding on teeth #6, 7, 8, and 11, and also used in-office Zoom Whitening – the results were fantastic! He is now very happy to show off his new smile and finds himself smiling more confidently and more often.
