Smile Gallery
Cosmetic Dentistry and Porcelain Veneers
Patient 4

Case Images

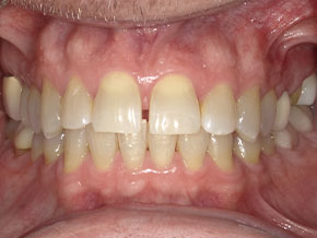
Before

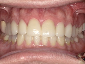
After

Before

After
Patient Information
This patient had a problem with clenching and grinding. His upper arch was very narrow and his front teeth were too spaced out which caused his back teeth to bear the brunt of his clenching and grinding. By correcting the position of his front teeth and making his upper arch wider, we were able to make his bite much better and balanced. The patient decided not to go through orthodontic tooth movement and we were able to finish the case two weeks from the preparation and temporization date. A night guard was made after the case was cemented to control the biting and grinding pressure while he sleeps. The added benefit of a case like this is the cosmetic result!
