Smile Gallery
Cosmetic Dentistry and Porcelain Veneers
Patient 2

Case Images

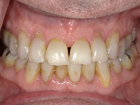
Before

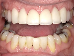
After

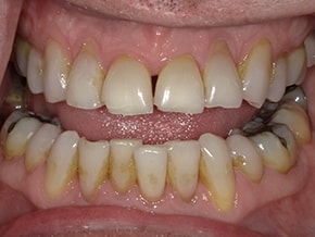
Before

After
Patient Information
This patient came to us before his wedding and wanted to fix his smile. He had issues with his bite and many chipped and broken front teeth. We were able to create symmetry and balance in his smile and now, he is looking forward to smiling confidently in his wedding pictures!
